锦州田宇口腔2025收费价目表!种植牙1980起|隐形矫正1.5万起|洗牙120起!

发布时间:2025-10-01 00:00:00

锦州田宇口腔收费价目表2025非常新数据已正式公示,本文将从七大诊疗项目入手,为您解读种植牙、矫正、洗牙等服务的费用标准,帮助患者实现精细预算规划。


单颗种植牙

一、种植牙项目收费明细

作为锦州田宇口腔收费价目表2025非常新中的重点板块,种植牙提供多种海内外认证植体选择:

韩国登腾种植牙系列

单颗种植:1980元起(含基台+冠修复)

半口型种植:5.2万元起

瑞士ITI种植系统

骨水平种植体:6800元起/颗

软组织水平种植体:8600元起/颗

快速负重种植技术

当天戴牙方案:1.8万元起/颗

(注:种植费用包含术前检查、智能化方案设计及术后维护服务)

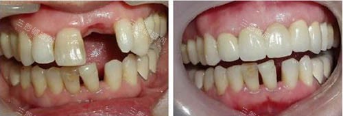
种植牙手术前后图

二、牙齿矫正收费标准

锦州田宇口腔2025收费价目表非常新矫正类目涵盖全年龄段方案:

隐形矫正专区

国产适美乐:1.5万元起

美国隐适美:3.8万元起

舌侧矫正:5.6万元起

传统固定矫正

金属托槽:8800元起

陶瓷半隐形:1.28万元起

儿童早期干预

功能性矫正器:6800元起

肌功能训练套装:3600元起

传统牙齿矫正器动画展示图

三、基础护理项目价格

定期口腔护理在锦州田宇口腔收费价目表2025非常新中保持惠民定位:

深度洁治系列

超声波洁牙:120元起/次

喷砂抛光:260元起/次

牙周刮治:80元起/区起

龋病防治项目

3M树脂补牙:380元起/颗

窝沟封闭:120元起/颗

儿童涂氟:99元起/次

牙齿矫正卡通

四、修复治疗收费体系

针对不同修复需求,价目表提供阶梯式选择:

冠桥修复类

全瓷冠:1680元起/颗

二氧化锆冠:2600元起/颗

连桥修复:按基牙数量计价

活动义齿系列

胶托活动义齿:1600元起

维他灵支架:4200元起

BPS吸附性义齿:1.2万元起

牙冠修复示意图

五、美学修复专项价格

追求美观的患者可参考以下精品项目:

瓷贴面修复

超薄贴面:2800元起/颗

琥珀瓷贴面:3800元起/颗

冷光美白套餐

家庭装:680元起(含6支凝胶)

诊室美白:1500元起/次

牙贴面动画展示图

六、特色诊疗服务收费

价目表中特别增设创新治疗模块:

舒适化诊疗套餐

吸入式镇静:300元起/小时

全麻下儿童治疗:4800元起

显微根管治疗

前牙:1200元起/颗

后磨牙:1800元起/颗

牙齿贴面透光性好

七、其他附加服务说明

在查阅锦州田宇口腔收费价目表2025非常新时需注意:

报价均为税前指导价,具体以电子病历系统生成金额为准

60岁以上长者享受基础检查费全免政策

学生凭有效证件可获正畸治疗9折优惠

成品贴面

通过这份非常新的锦州田宇口腔收费价目表2025非常新,患者可以清晰了解种植牙、隐形矫正等服务的价格区间。

建议就诊前通过客服进行方案预评估,结合医生面诊制定个性化诊疗计划。

|

客服微信(点击添加)

锦州田宇口腔2025收费价目表!种植牙1980起|隐形矫正1.5万起|洗牙120起!

大家正在看