长辈装活动义齿必看!2026价格表+真实评价,全口吸附义齿值不值?

发布时间:2025-10-03 00:00:00

活动义齿单颗价格大概在200-2000元,全口吸附义齿普遍1.8万起,具体得看材料、工艺和个人口腔情况。不少朋友问我“活动义齿到底贵不贵”,今天就结合网友分享和市场调研,给大家唠唠明白。

活动义齿成品

一、单颗/全口活动义齿价格,2025年涨了吗?

先说单颗活动义齿:较便宜的树脂基托假牙,单颗200-500元,适合预算有限的朋友;钴铬合金支架的稍贵点,400-800元/颗;纯钛支架属于“高端款”,800-1200元/颗,轻便又耐用。

全口活动义齿就更复杂了。普通树脂全口大概5000-1万,但吸附性义齿是“进阶版”——靠负压吸附在牙槽骨上,吃东西更稳当。2025年数据显示,国产基础款全口吸附义齿1.5-2万起,进口高端定制款能到3.8万。

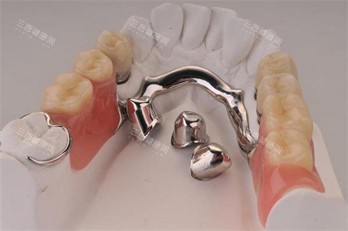
精密附着体和活动义齿成品

二、材料不同差价大?网友分享真实体验

活动义齿主要分三部分:人工牙、基托、卡环。人工牙多用树脂,颜色接近真牙;基托材料较关键——树脂基托软但便宜,金属基托(钴铬/纯钛)硬但轻。

之前陪邻居张阿姨装牙,她选了树脂基托,花了3000多全口。“刚开始戴有点磨嘴,适应一周就好了,吃饭能啃苹果。”但另一位李叔叔选了纯钛支架,花了2.8万全口吸附款:“戴着跟没装似的,吃排骨都不晃,贵点也值。”

多颗活动义齿示意图

三、这些坑别踩!选活动义齿要注意啥?

很多人图便宜选超低价义齿,结果戴3个月就变形。网友@牙科小助手提醒:“便宜义齿可能用回收树脂,易染色还伤牙龈。”建议选正规机构,让医生根据牙槽骨条件推荐材料。

吸附性义齿对医生技术要求高!有网友分享:“头一次装全口吸附义齿花了1.8万,总掉;换了个有经验的医生,调整咬合后稳多了,多花2000但用着舒服。”

活动义齿动画图

四、用户真实评价:活动义齿值不值得装?

“装了半年,吃饭香了,说话不漏风,就是每天得摘下来刷。”——@王奶奶70岁

“纯钛支架确实轻,戴3年没变形,就是当初心疼钱犹豫了半年。”——@赵叔叔65岁

“树脂基托容易发黄,喝浓茶得注意,不过便宜,坏了换也不心疼。”——@刘阿姨58岁

想知道自己适合哪种活动义齿?点击页面下方问询按钮,找医生聊聊口腔情况,定制专属方案~

|

客服微信(点击添加)

长辈装活动义齿必看!2026价格表+真实评价,全口吸附义齿值不值?

大家正在看