苏州老年人镶牙怎么选?活动假牙 3000 起 vs 吸附性 1.5 万起,5 种方式解析!
发布时间:2025-10-31 15:13:00
发布时间:2025-10-31 15:13:00
在苏州,很多老年人面临牙齿缺失问题时,首先考虑的是"去哪家医院镶牙好",但实际上,选择适合自己的镶牙方式更为关键。不同的镶牙方式在价格、舒适度、使用寿命等方面差异显著,了解这些差异才能做出明智选择。不当的选择不仅影响日常饮食,还可能对剩余健康牙齿造成损害。
牙齿修复领域主要有三种基本方式:活动假牙、固定假牙和种植牙。每种方式都有其适用场景和优缺点,价格从3000元到上万元不等。老年人需要根据自身口腔状况、预算以及日常生活需求来权衡选择。

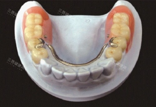
活动假牙是老年人中更常见的牙齿修复方式,价格相对亲民,基础款从3000元起。这类假牙分为局部和全口两种类型,更大特点是使用者可以自行摘戴,便于清洁。
局部活动假牙依靠金属卡环固定在邻近的健康牙齿上。这种方式虽然价格较低,但存在明显缺点:异物感强,初次佩戴时常有恶心感;咀嚼时稳定性较差,容易晃动;长期使用可能导致作为支撑的健康牙齿松动。很多使用者反映,戴着这种假牙吃饭时总感觉不踏实,尤其食用粘性食物时更需小心。
全口活动假牙适用于牙齿基本掉光的老人,依靠大气压力吸附在牙槽骨上。价格比局部假牙略高,但同样存在诸多不便:容易脱落,特别是在说话或大笑时;长期佩戴可能刺激口腔粘膜,引发溃疡;咀嚼效率较低,很多使用者表示无法尽情享受较硬或较韧的食物。

固定假牙在苏州地区的价格区间为8000-15000元,相比活动假牙提供了更好的稳定性和舒适度。这种修复方式需要利用缺牙两侧的健康牙齿作为支撑,通过牙冠将假牙固定住,使用者不能自行取下。
固定假牙的主要优势在于:咀嚼效率高,接近天然牙齿;外形美观,不易被察觉是假牙;日常使用舒适,没有活动假牙的异物感。很多选择固定假牙的老年人表示,使用体验明显优于活动假牙,能够更好地享受美食。
但固定假牙也有不可忽视的缺点:安装时需要磨削两侧健康牙齿,这对本就牙齿不多的老年人是个考验;对支撑牙齿的健康状况要求较高;一旦出现问题,维修较为复杂。值得注意的是,如果支撑牙齿后期出现问题,可能导致整个修复体失效。

种植牙是目前公认的更接近天然牙的修复方式,价格在15000元/颗起。这种方式不依赖邻牙支撑,而是将人工牙根直接植入颌骨,待其与骨骼结合后再安装牙冠。
种植牙的突出优势包括:不损伤邻牙,保护剩余牙齿健康;咀嚼功能强大,可改善近90%的天然牙咬合力;使用寿命长,保养得当可使用十几年甚至更久;维护口腔骨骼健康,防止牙槽骨萎缩。很多使用者反馈,种植牙几乎感觉不到是假牙,使用体验较好。
然而,种植牙也有其局限性:价格较高,全口修复费用可达数十万元;治疗周期长,从植入到更终使用可能需要3-6个月;对患者身体状况要求较高,患有严峻骨质疏松或糖尿病的老人可能不适合。此外,种植牙需要手术植入,虽然技术成熟,但仍有一定创伤。

吸附性义齿是近年来兴起的一种全口修复方式,价格在15000元起。它通过特殊的密封设计和材料,使假牙与牙龈之间形成更好的封闭结果,比传统全口假牙更稳固。
吸附性义齿相比传统全口假牙有几个改进:固位力更强,大幅降低脱落风险;分布压力更均匀,减少对牙龈的局部压迫;改善咀嚼效率,让使用者能咬更硬的食物;减少食物残渣进入假牙与牙龈之间的情况。不少使用者表示,吸附性义齿让他们在社交场合更自信,不再担心假牙突然脱落。
但这种修复方式也有不足:价格比传统全口假牙高出不少;仍有一定异物感,虽然比传统假牙轻;需要较长时间适应;对牙槽骨条件有一定要求,萎缩严峻者结果可能不理想。

覆盖义齿和套筒冠义齿是介于活动假牙和固定假牙之间的选择,价格区间为6000-12000元。这两种方式都保留部分牙根或使用少量种植体作为支撑,再安装可摘戴的假牙。
覆盖义齿利用剩余的天然牙根作为支撑,能较好地保持牙槽骨高度,延缓面部塌陷。套筒冠义齿则通过精密附件连接假牙与基牙,比传统卡环式活动假牙更稳固。这两种方式的共同优势是:比传统活动假牙稳定;比固定假牙和种植牙便宜;保留或植入的支撑点有助于维持颌骨健康。
但这类修复方式同样存在局限:对剩余牙齿或牙根的健康状况有要求;仍需要每日摘戴清洁;使用寿命介于活动假牙和固定修复之间;后期可能需要调整或更换。

面对众多选择,苏州老年人在决定镶牙方式时应综合考虑以下几个因素:
口腔健康状况是首要考虑。剩余牙齿的数量、质量以及牙槽骨状况直接影响可选方案。牙齿缺失较少且邻牙健康者可考虑固定修复;全口缺牙且牙槽骨条件差者可能只能选择传统全口假牙;有一定骨量且身体健康者则可考虑种植牙。
经济预算也很关键。不同修复方式价格差异巨大,从几千元到数十万元不等。老年人应根据自身经济状况选择,不必盲目追求更贵的,但也要考虑长期使用成本。例如,虽然种植牙初期投入高,但使用寿命长,长期看可能更经济。
日常生活需求不容忽视。活跃的老年人可能更需要稳固的修复体,以便参加各种社交活动;主要在家且饮食清淡的老人可能对咀嚼功能要求不高。对假牙美观有较高要求者,则可能需要考虑前牙区的特殊修复方式。
身体健康状况也很重要。患有严峻系统性疾病(如未控制的糖尿病、心脏病)或正在服用特定药物(如双膦酸盐类)的老人,某些修复方式可能不适合。种植牙需要小型手术,对身体健康有一定要求。
适应能力和护理条件同样需要考虑。活动假牙需要使用者每天摘戴清洁,手部灵活性差的老人可能操作困难。所有修复方式都需要定期复查和维护,老年人应考虑自己能否坚持做到。

对于苏州地区的老年人,在选择和安装假牙时有几点实用建议:
多方了解很重要。不同医生可能对同一口腔状况给出不同修复建议,听取多位特色人士意见有助于多方面了解选项。但要注意区分特色建议和商业推销,特别警惕那些过分夸大某种方式优势的说法。
循序渐进是明智之举。特别是全口修复,不必急于一次性完成所有治疗。可以先试用临时修复体,适应后再决定更终方案。有些修复方式如种植牙,还可以分阶段进行,减轻经济压力。
适应期需要耐心。任何假牙初次佩戴都需要适应期,可能出现暂时性的发音不清、口水增多、轻微疼痛等情况。给身体1-2周的适应时间,不要过早放弃。但持续不适或疼痛应及时复诊调整。
日常护理不可马虎。无论哪种修复方式,都需要良好的口腔卫生习惯。活动假牙需每日摘戴清洁;固定修复体则需要特别关注与牙龈交界处的清洁。定期复查能及时发现并处理小问题,避免发展成大问题。
价格不是仅有标准。更贵的未必是更适合的,更便宜的后期可能需要更多维护费用。考虑整体性价比,平衡初期投入与长期使用成本。同时要了解各项收费明细,避免隐形消费。
心理预期要合理。再好的假牙也无法**替代天然牙的功能,调整使用方式和饮食习惯有助于提高满意度。与医生充分沟通自己的期望,了解可实现的结果范围。

根据经济条件的不同,苏州老年人可以采取不同的镶牙策略:
预算有限(3000-8000元):传统活动假牙是主要选择。可以考虑先修复关键咀嚼区域的牙齿,保留前牙美观区待日后有条件再修复。选择正规机构的基础款,避免过于廉价的产品,质量可能无法确保。
中等预算(8000-30000元):可以考虑固定假牙或覆盖义齿。也可以采用混合策略,可见区域选择美观性好的修复,后牙区选择经济实惠的方案。种植牙可以考虑单颗或少量关键牙齿的修复。
较高预算(30000元以上):可以选择多颗种植牙或吸附性义齿等高端修复方式。全口修复可以考虑All-on-4等种植支持式修复体。也可以分阶段进行,先完成一侧或部分修复,再逐步完成全部。
无论预算多少,都建议预留10-20%的资金用于后期维护和可能的调整。所有修复体都有使用寿命,后期更换成本也应纳入长期规划。
部分老年人有一些特殊口腔状况,需要特别注意:
牙槽骨严峻萎缩:传统全口假牙固位困难,可考虑吸附性义齿或种植体支持式覆盖义齿。骨增量手术可以增加种植牙选项,但费用和复杂度都会提高。
剩余牙齿状况差:可能需要先拔除无法保留的牙齿,待伤口愈合后再修复。过渡性活动假牙可以解决等待期的美观和功能问题。
患有慢性疾病:糖尿病等系统性疾病患者需要控制好血糖后再考虑种植等有创治疗。服用抗凝药物者需与内科医生协调治疗计划。
过敏体质:对金属过敏者需选择无金属修复体,如全瓷冠或钛种植体。活动假牙应避免含镍等常见致敏金属的组件。
高龄或行动不便:手部灵活性差的老人可能更适合固定修复或易于清洁的设计。居住偏远者应考虑复诊便利性,选择维护需求低的修复方式。

成功安装假牙只是头一步,后续的生活调整同样重要:
饮食方面:初期应从软食开始,逐渐尝试较硬食物。避免过粘或扎实的食物,特别是一些传统上认为"补牙"的硬质食品。切割食物时尽量使用后牙,避免前牙过度受力。
清洁习惯:活动假牙每餐后应取下冲洗,每天用专用牙刷清洁。固定修复体需要使用牙线或间隙刷清洁邻接面。所有假牙都应避免使用普通牙膏,以防划伤表面。
睡眠习惯:除非医生特别建议,否则活动假牙夜间应取下,让口腔组织休息。存放时应浸泡在清水中或专用清洁液中,避免干燥变形。
定期复查:即使没有不适,也应每6-12个月复查一次。医生会检查修复体的适合度,进行必要的调整,并评估口腔整体健康状况。
心理调适:接受假牙需要时间,不要因初期不适而沮丧。与家人或同样使用假牙的朋友交流经验有助于适应。保持积极心态,假牙可以帮助改善大部分口腔功能,不应成为社交障碍。

Q:假牙一般能用多久?
A:活动假牙通常3-5年需要检查或更换;固定假牙一般可使用5-10年;种植牙保养得当可使用15年以上。实际寿命取决于使用状况和口腔变化。
Q:假牙会让人看出来吗?
A:现代修复技术制作的假牙,特别是固定假牙和种植牙,外观非常自然。活动假牙的金属卡环可能在某些情况下可见,但也有很多隐蔽设计。
Q:戴假牙后说话会受影响吗?
A:初期可能有短暂发音不清,多数人在1-2周内能适应。朗读练习有助于加快适应过程。如长期存在问题,可能需要调整假牙。
Q:可以戴着假牙睡觉吗?
A:一般不建议。夜间取下假牙可以让口腔组织休息,减少感染和炎症风险。但某些特殊修复方式可能有不同建议,应遵医嘱。
Q:假牙需要特别保险吗?
A:可以考虑专门的口腔保险或包含牙科项目的健康险。部分保险可为意外损坏提供维持。日常使用时避免跌落,清洁时放在水盆中进行以防摔碎。

苏州老年人选择镶牙方式是一个需要综合考虑的决策过程。从经济的活动假牙到高端的吸附性义齿和种植牙,每种方式都有其适用场景。了解这些选项的特点,结合自身口腔状况、生活习惯和经济条件,才能做出更合适的选择。无论选择哪种方式,正确的使用和维护都是确保长期满意度的关键。希望这份指南能帮助苏州的老年朋友们找到适合自己的牙齿修复方案,重获健康自信的笑容。