活动性义齿和吸附性义齿的全维度对比表:从价格到寿命,5分钟选对不踩坑
发布时间:2025-11-04 17:05:51
发布时间:2025-11-04 17:05:51
“隔壁老张刚装了假牙,啃苹果啃掉半颗!"楼下王阿姨说她的假牙总跑偏,吃饭都不敢张大嘴!”这些场景是不是听着耳熟?数据显示,我国65岁以上老人缺牙率超80%,可假牙装不对,花钱还遭罪!今天咱就唠唠活动性义齿和吸附性义齿到底咋选,看完这篇,保准你少走弯路!

基础价:活动性义齿像“拼夕夕”,吸附性义齿像“专柜货”?
活动性义齿,江湖人称“可摘戴假牙”,基础款价格亲民得很!普通树脂材质的,2000元起步,要是选个钴铬合金支架的,5000元起也能拿下。这价格,相当于给牙齿买了件“快时尚单品”,坏了不心疼,换新也不肉疼。
可吸附性义齿呢?它可是假牙界的“黑科技”!靠口腔黏膜吸附固定,不用卡环,戴上去跟真牙似的。但价格也“高冷”些——普通吸附性义齿8000元起步,要是选进口材料或定制款,1.5万元起也正常。这价格,够买台高端手机了,但用着舒不舒服,还得看后续体验。

附加费:活动性义齿“配件多”,吸附性义齿“服务贵”?
活动性义齿的附加费,主要花在“配件”上。比如卡环断了?换!基托裂了?修!每年维护费少说500元起,要是牙齿继续掉,还得重新做,又是一笔开销。网友反馈:“我妈的活动假牙用了3年,修了5次,算下来比买新的还贵!”
吸附性义齿的附加费,则藏在“服务”里。它需要专科医生取模、调改,甚至得用3D扫描技术定制。北京某口腔医院的李主管说:“吸附性义齿的精细度要求高,光取模就得花1小时,调改3-5次才能戴稳。”这服务费,自然也摊进价格里了。

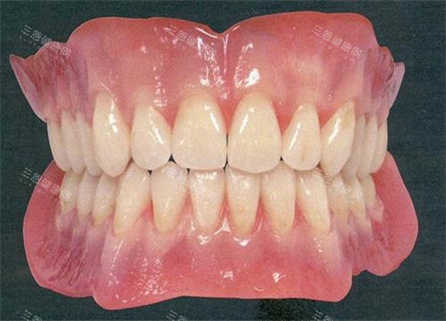
活动性义齿:初戴像“戴口罩”,久了像“啃硬骨头”?
刚戴上活动性义齿,很多人会觉得“嘴里塞了块东西”,说话大舌头,吃饭不敢嚼。网友小刘说:“我头一天戴假牙,吃面条都夹不断,差点把碗摔了!”更尴尬的是,假牙容易松动,咳嗽、打喷嚏都可能“飞出去”——想象下,在饭桌上假牙掉进汤里的画面,是不是社死现场?
用久了,问题更多。基托会压迫牙龈,疼得吃不下饭;卡环磨得口腔溃疡,说话都费劲。有位患者吐槽:“我这假牙戴了2年,牙龈都萎缩了,现在连苹果都啃不动!”

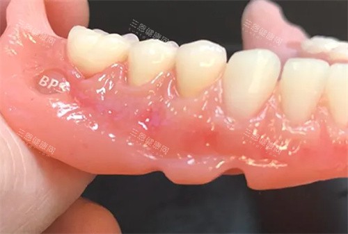
吸附性义齿:戴上去像“长在嘴里”,但适应期像“坐过山车”?
吸附性义齿的舒适度,简直像“真牙重生”!它靠吸附力固定,不用卡环,戴上去几乎没异物感。上海的陈阿姨说:“我戴吸附性假牙第3天,就能啃排骨了,朋友都没看出来是假的!”
但适应期有点“刺激”。刚戴时,口腔黏膜需要时间适应,可能会出现压痛、唾液增多等情况。广州的王大爷分享:“我戴头一周,说话总流口水,女儿笑我像小孩。但1个月后,完全没感觉了,现在吃嘛嘛香!”

活动性义齿:3-5年是“极限挑战”?
活动性义齿的寿命,主要看材质和保养。树脂基托容易老化,3-5年就得换;钴铬合金支架耐用些,但用久了也会变形。网友反馈:“我爸的假牙用了4年,基托裂了,医生说不换的话会磨伤牙龈,然后还是花了3000元起重做。”
更关键的是,活动性义齿没法阻止牙齿继续脱落。如果剩下的牙掉光了,假牙就得重新做,相当于“无底洞”。

吸附性义齿:8-10年“稳如老狗”?
吸附性义齿的寿命,堪称“假牙界的长寿星”!如果口腔条件好(比如牙槽骨丰满、黏膜健康),用8-10年没问题。北京的赵阿姨说:“我的吸附性假牙用了7年,除了每年调改一次,基本没毛病,现在戴上去还是稳稳的。”
但它的“寿命”也受口腔条件影响。如果牙槽骨吸收严峻,吸附力会下降,可能需要重新取模或换假牙。不过相比活动性义齿,它的“性价比”还是高很多。

活动性义齿:缺牙多、预算少、急着用的“救急党”
如果你缺牙多(比如半口或全口缺失)、预算有限(5000元起以内),或者急着用(比如要参加重要场合),活动性义齿是“经济适用款”。它制作周期短(1-2周就能拿),价格低,适合过渡期使用。
但要注意:如果口腔条件差(比如牙槽骨严峻吸收、黏膜薄),活动性义齿可能戴不稳,容易磨伤牙龈。这时候,吸附性义齿更合适。

吸附性义齿:追求舒适、想“一劳永逸”的“品质党”
如果你对舒适度要求高(比如讨厌假牙松动、异物感),或者想“一劳永逸”(不想频繁换假牙),吸附性义齿是“高端定制款”。它尤其适合牙槽骨条件好、黏膜健康的中老年人,戴上去几乎没负担,吃饭、说话都自然。
但要注意:吸附性义齿对医生技术要求高,一定要选有经验的医生。比如杭州某口腔医院的周医生,专注吸附性义齿10年,患者口碑非常好,找他做假牙的人排到下个月!

病例1:活动性义齿“坑”了退休教师
65岁的刘老师,缺了4颗牙,选了活动性义齿。刚开始觉得便宜,可用了2年,问题来了:假牙松动,吃饭总掉;卡环磨得口腔溃疡,疼得睡不着。然后不得不花8000元起换了吸附性义齿,现在说:“早知道直接选贵的,省得遭两遍罪!”
病例2:吸附性义齿“救”了广场舞女王
58岁的李阿姨,缺了半口牙,选了吸附性义齿。刚开始适应期有点难受,但1个月后,她成了广场舞的“C位”——因为假牙稳,跳舞时不用担心掉!她笑着说:“现在吃火锅、啃甘蔗都没问题,女儿都说我年轻了10岁!”

结尾:你的假牙选对了吗?
活动性义齿和吸附性义齿,没有肯定的好坏,只有适不适合。如果你预算有限、急着用,活动性义齿是“及格线”;如果你追求舒适、想“一劳永逸”,吸附性义齿是“优等生”。
你或家人装过假牙吗?遇到过哪些坑?欢迎在评论区分享你的故事,或者留言提问,咱一起唠唠!毕竟,选对假牙,才能吃嘛嘛香,生活更敞亮!