保定优戈正立口腔2025价格表,种牙|牙齿矫正|根管治疗|补牙及镶牙费用
发布时间:2025-11-07 16:17:51
发布时间:2025-11-07 16:17:51
保定优戈正立口腔2025价格表已整理完成,涵盖种牙、牙齿矫正、根管治疗、补牙及镶牙费用,这份价格表基于市场行情及医院收费标准制定。

保定优戈正立口腔是本地深耕 8 年的连锁口腔机构,持有卫健委核发的《医疗机构执业许可证》,目前在莲池区、竞秀区设有两家分院,诊疗面积超 1500㎡。
院内核心团队由 10 位平均执业年限 12 年以上的医生组成,其中 3 位曾在综合医院口腔科任职,主打 “分龄化口腔诊疗”,针对儿童、成人、老年群体的口腔问题制定差异化方案。
诊疗流程中采用全流程智能化记录,从初诊口扫到方案设计均有电子档案留存,且消毒流程实行 “一人一器械一灭菌” 标准,可提供消毒记录查询。
日常接诊时间覆盖 8:30-20:00,周末无休,方便上班族及学生群体就诊。
(一)种植牙项目:分植体品牌定价,适配不同缺牙情况
种植牙费用由植体、基台、牙冠三部分构成,优戈正立口腔根据植体产地及品牌细分 6 类套餐,具体价格如下:
国产创英植体 + 全瓷牙冠套餐(单颗):6800 元左右
国产威高植体 + 全瓷牙冠套餐(单颗):7500 元左右

韩国登腾植体 + 全瓷牙冠套餐(单颗):8200 元左右
韩国奥齿泰植体 + 全瓷牙冠套餐(单颗):9500 元左右
德国 ICX 植体 + 全瓷牙冠套餐(单颗):12800 元左右
瑞典诺贝尔 PMC 植体 + 全瓷牙冠套餐(单颗):16800 元左右
半口小创口种植套餐(韩国登腾植体,6 颗植体):45000 元左右
全口 all-on-4 种植套餐(德国 ICX 植体,8 颗植体):98000 元左右
(二)牙齿矫正项目:按矫正类型细分,覆盖各年龄段需求
矫正费用根据矫正器类型、品牌及牙齿复杂程度定价,具体如下:
儿童早期功能矫正器(适用于 6-10 岁):5800 元左右
青少年传统金属托槽矫正:9800 元左右
青少年金属自锁托槽矫正:12800 元左右

成人陶瓷半隐形托槽矫正:15800 元左右
国产正雅隐形矫正(简单病例):18800 元左右
国产可丽尔隐形矫正(中等难度病例):22800 元左右
进口美立刻隐形矫正(复杂病例):26800 元左右
舌侧隐形矫正(定制款):42800 元左右
(三)根管治疗项目:按牙位及根管数量计费,明确定价标准
根管治疗费用与牙齿位置、根管数量直接相关,具体如下:
前牙单根管治疗(如门牙):680 元左右
前牙双根管治疗(如尖牙):880 元左右
前磨牙双根管治疗(如 4 号牙):1180 元左右
前磨牙三根管治疗(如 5 号牙):1480 元左右

后牙三根管治疗(如 6 号牙):1680 元左右
后牙四根管治疗(如 7 号牙):1980 元左右
根管治疗后牙冠修复(国产烤瓷冠):1280 元左右
根管治疗后牙冠修复(进口全瓷冠):2480 元左右
(四)补牙项目:按材料材质区分,适配不同龋坏程度
补牙费用依据填充材料种类及龋洞大小定价,具体如下:
国产玻璃材料补牙(适用于乳牙):120 元左右 / 颗
进口树脂补牙(3M Z250,浅龋):280 元左右 / 颗
进口树脂补牙(3M P60,中龋):380 元左右 / 颗
进口树脂补牙(义获嘉,深龋):480 元左右 / 颗

树脂补牙后嵌体修复(树脂嵌体):1280 元左右 / 颗
树脂补牙后嵌体修复(瓷嵌体):2180 元左右 / 颗
儿童窝沟封闭(单颗):80 元左右
儿童涂氟防龋(全口):180 元左右
(五)镶牙项目:按修复方式分类,兼顾功能与美观
镶牙费用因修复方式、材料品牌差异较大,具体如下:
镍铬合金烤瓷牙(单颗):880 元左右
钴铬合金烤瓷牙(单颗):1280 元左右
纯钛合金烤瓷牙(单颗):1880 元左右
国产全瓷牙(爱尔创,单颗):2280 元左右
进口全瓷牙(威兰德,单颗):3280 元左右
进口全瓷牙(拉瓦,单颗):5800 元左右

活动义齿(树脂基托,半口):3800 元左右
活动义齿(金属基托,半口):5800 元左右
吸附性义齿(全口):12800 元左右
(一)中老年半口种植病例:预算与适配性的平衡
62 岁的张阿姨因牙周病导致半口牙齿缺失,经检查牙槽骨条件中等,医生推荐韩国登腾植体半口套餐。
诊疗过程:靠前行牙周基础治疗(费用另计),随后分两次植入 6 颗植体,术后 4 个月安装牙冠。
实际费用:半口种植套餐 45000 元左右,加上前期牙周治疗 1800 元左右,总费用 46800 元左右。
用户反馈:“医生根据我的骨量选了合适的植体,不用额外植骨,省了不少钱。
现在能正常吃排骨,比之前的活动假牙稳多了。”

(二)青少年隐形矫正病例:美观需求与性价比的结合
15 岁的李同学因牙齿拥挤需矫正,家长考虑到孩子学业及美观需求,选择国产正雅隐形矫正。
诊疗过程:通过口扫获取数据,3 天出具方案,每 6 周复诊调整一次矫正器,总疗程 18 个月。
实际费用:18800 元左右,包含所有复诊及矫正器更换费用。
用户反馈:“隐形矫正器平时上学没人看得出来,摘戴也方便,不影响吃饭。
每次复诊医生都会对比牙齿移动情况,很放心。”
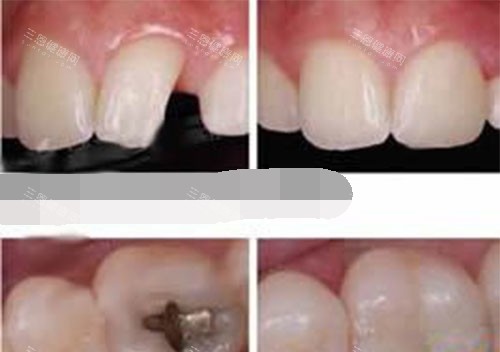
(三)成人后牙根管治疗病例:复杂牙位的精密诊疗
32 岁的王先生因后牙剧痛就诊,检查发现 7 号牙(智齿旁)有四根管且牙髓坏死,需进行根管治疗 + 全瓷冠修复。

诊疗过程:分 4 次完成根管清理、消毒、填充,术后 1 个月安装进口威兰德全瓷冠。
实际费用:后牙四根管治疗 1980 元左右,进口全瓷冠 3280 元左右,总费用 5260 元左右。
用户反馈:“本来以为要拔牙,医生说能保留牙齿,治疗过程中没明显痛感,现在用这颗牙嚼东西和正常牙一样。”
优戈正立口腔的定价包含全流程服务,如种植牙术后 1 年免费复查 4 次,隐形矫正包含 3 次口腔清洁,根管治疗后提供 1 年质保服务。
此外,医院配备智能化口扫仪、种植导板系统等设备,能缩短诊疗时间,这些设备折旧成本也计入定价中。