患者问:7号牙不种6号牙会倒吗?今天用大白话给你讲透
发布时间:2025-11-17 17:47:26
发布时间:2025-11-17 17:47:26
"医生!我左下7号牙拔了三个月,6号种植牙会不会被旁边的牙挤歪啊?"上周三诊室里,28岁的程序员小王攥着病历本,手机屏幕还亮着某口腔论坛的讨论帖——这个被12万网友热议的问题,正戳中当代年轻人的"缺牙焦虑"。今天咱们就用胡同口唠嗑的架势,把这事儿掰扯明白!

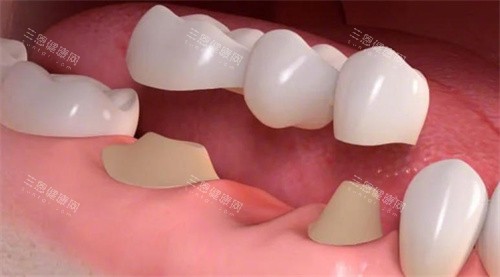
您可别小看嘴里这32颗牙,它们就像精心编排的舞蹈队形:前牙负责切咬,磨牙承担研磨,每颗牙都有专属站位。当7号牙这个"后排主力"突然离场,邻牙就像失去舞伴的舞者——6号牙会偷偷往空位挪,8号智齿(如果有的话)会往前挤,上颌对应的7号牙甚至会像弹簧一样伸长!
医院的路东升主管遇到过典型病例:45岁的李女士拔了右下7号牙没及时修复,三年后发现6号牙向远中倾斜了3毫米,上颌7号牙伸长2.5毫米,直接导致咬合时像两排错位的齿轮。这种"连锁反应"在口腔医学里叫"缺牙后邻牙移位",就像多米诺骨牌倒下时,每块骨牌都会影响周围的结构。

1. 咀嚼功能断崖式下跌
7号牙是磨碎食物的"主力磨盘",缺失后吃个排骨都能硌得牙床生疼。网友"爱吃肉的阿强"分享:"自从拔了7号牙,吃火锅都得把毛肚撕成指甲盖大小,否则嚼不动!"更糟的是,长期单侧咀嚼会引发大小脸,照镜子时发现两边脸不对称,那可真是"美貌暴击"。
2. 牙齿排列开启"漂移模式"
牙齿之间存在0.2-0.5毫米的生理间隙,当7号牙空缺,6号牙会以每月0.1毫米的速度向缺隙倾斜。天津口腔医院的孙晓迪副主管做过实验:用3D打印模型模拟缺牙环境,6个月后邻牙倾斜角度达15°,相当于每颗牙都"歪着头"生长。这种移位不仅影响美观,更会引发食物嵌塞——吃顿韭菜饺子都能卡得牙缝生疼。

3. 咬合关系陷入"恶性循环"
上颌7号牙失去对抗力量后,会像弹簧一样持续伸长。保定市头一中医院的梁丹主治医师接诊过极端病例:患者缺牙5年后,上颌7号牙伸长4毫米,直接顶到下颌牙龈,引发创伤性溃疡。这种"上牙咬下肉"的痛苦,比缺牙本身更折磨人。
4. 牙槽骨开启"萎缩倒计时"
牙齿就像扎根在土里的树,缺失后牙槽骨会以每年0.5-1毫米的速度吸收。有位57岁患者缺牙8年未修复,牙槽骨高度从12毫米萎缩到5毫米,种植时需要先骨增量手术——相当于在沙漠里种树,难度和费用都翻倍。

面对缺牙危机,现代口腔医学提供了三大解决方案,咱们用"买车"来打比方:
1. 种植牙:口腔里的"长期保修车"
进口种植体就像豪华品牌,价格在8000-25000元起/颗,但使用寿命可达20年以上。有位25岁女生种植门牙的病例特别典型:她因龋坏缺失门牙,选择瑞士ITI种植系统,全程采用智能化导板定位,手术误差控制在0.1毫米内。术后戴全瓷牙冠,现在笑起来连闺蜜都看不出是假牙。
2. 固定桥修复:性价比之选
把6号和8号牙磨小当"桥墩",架上三颗连冠牙桥,价格在3000-8000元起/单位。不过这种方案要"拆东墙补西墙",有位40岁患者反馈:"修复后吃坚果总担心把桥墩牙崩裂,现在连螃蟹都不敢啃。"
3. 活动义齿:老年群体的"备用轮胎"
隐形义齿价格800元起,适合多颗牙缺失的老人。但网友"跳广场舞的张姨"吐槽:"上次跳着跳着假牙飞出去了,全场老姐妹笑岔气!"这种方案更适合临时过渡,长期使用会导致牙槽骨吸收加速。

看医生资质:优先选有"口腔种植专科医师"认证的医生,比如常德市第二人民医院的石毅主治医师,他曾在中南大学口腔医院规培三年,擅长即刻种植和骨增量技术。
看设备配置:正规机构必备CBCT(三维口腔扫描仪)、智能化种植导板系统,这些设备能把种植误差控制在0.3毫米内。
看病例口碑:网友"种牙老炮儿"分享:"我跑了五家诊所,然后选的那家墙上挂满患者修复前后的对比照,医生还能调出十年前的种植病例视频,这种透明度让人放心。"
避低价陷阱:某诊所打出"3980元起种进口牙"的广告,结果用的是翻新种植体,术后三个月就松动。
避过度医疗:有机构建议20岁患者做"全口种植",实际只需修复单颗牙。
避资质不全:美容院偷偷开展种植手术,消毒不达标导致交叉感染的病例屡见不鲜。

种植牙术后24小时是"黄金护理期":
不能用吸管喝饮料(防止负压导致血凝块脱落)
不能吃麻薯等黏性食物(避免种植体移位)
必须用冲牙器清洁种植体周围(普通牙刷刷不到死角)
有位35岁患者因术后偷吃火锅,导致种植体周围发炎,不得不拆除重做。现在他逢人就说:"种牙不是一劳永逸,术后护理比选贵种植体更重要!"

-您是否也有缺牙困扰?是选择咬牙忍着,还是果断修复?欢迎在评论区分享您的经历,或者抛出您的疑问——下期咱们专门解答"种植牙能用吗""智齿缺失需要修复吗"这些高频问题!记得点赞收藏,转发给正在为缺牙发愁的亲友哦!