格伦菲尔口腔收费贵不贵?2026新价格:种植牙2980元起,矫正8000元起,比医院划算!
发布时间:2025-11-11 18:06:01
发布时间:2025-11-11 18:06:01
很多人看牙前较关心 “贵不贵”,我特意整理了格伦菲尔口腔 2026 年的较新价格,从几十元的基础项目到上万元的修复项目,一一列出来,大家可以对照着看,心里更有数。

口腔基础检查:30 元起(含口腔视诊、牙龈状况检查,适合平时没明显不适,但想看看牙齿有没有隐藏问题的人,比如想知道自己有没有蛀牙、牙龈是不是健康)
口腔全景片拍摄:80 元起(能看到全口牙齿的情况,包括有没有埋伏牙、牙槽骨有没有问题,比如想种牙或矫正前,一般都需要拍这个)
儿童口腔检查:20 元起(专门针对小朋友的检查,会看乳牙萌出情况、有没有龋齿,医生还会教家长怎么给孩子刷牙,很实用)

儿童涂氟:99 元起(预防小朋友蛀牙,每年做 1-2 次就行,涂的时候是水果味的,孩子一般不抗拒)
窝沟封闭:120 元 / 颗起(给后牙的窝沟涂一层保护剂,防止食物残渣嵌进去,小朋友和青少年做的比较多)
简单补牙(树脂材料):199 元 / 颗起(针对浅龋、中龋,补完后颜色和真牙接近,一般半小时就能搞定,当天就能正常吃饭)
洁牙(基础款):158 元起(就是平时说的洗牙,能清理牙结石、牙菌斑,改善口气,建议每年洗 1-2 次)

活动假牙(单颗):800 元起(适合预算有限的老年人,摘戴方便,不过需要每天清洁,咬合力相对弱一点)
烤瓷牙冠:1200 元 / 颗起(牙齿坏得比较多,需要做牙冠保护,颜色和真牙接近,耐磨度还不错)
全瓷牙冠:2500 元 / 颗起(比烤瓷牙冠更美观,透光性好,靠近牙龈的地方不会发黑,适合门牙或者显眼位置的牙齿)
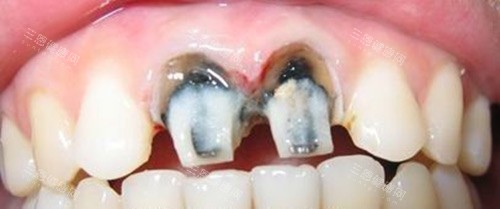
种植牙:2980 元 / 颗起(这个是基础款种植体,适合牙槽骨条件好的人,种完后和真牙差不多,咬合力强,能用很多年)

传统金属矫正:8000 元起(性价比高,通过钢丝和托槽把牙齿拉整齐,适合预算有限、不介意外观的人)
半隐形矫正(陶瓷托槽):12000 元起(托槽是透明的,比金属矫正美观一点,适合想改善牙齿,又不想太明显的人)
隐形矫正:20000 元起(用透明的牙套,能自行摘戴,吃饭、刷牙都方便,美观度高,适合上班族、学生党)

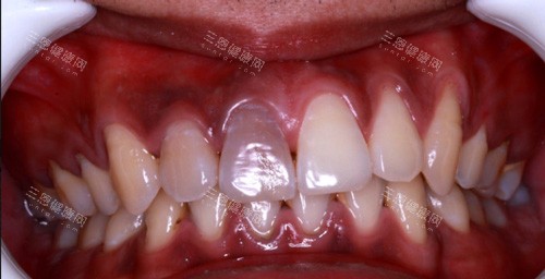
根管治疗(单根):800 元 / 颗起(牙齿烂到牙神经,疼得严峻时需要做,一般需要来 2-3 次,做完后牙齿会变脆,建议做个牙冠保护)
复杂种植牙(含骨粉):8000 元 / 颗起(牙槽骨条件不好,需要先填骨粉,再种种植体,适合缺牙时间久的人)
舌侧矫正:35000 元起(把托槽粘在牙齿内侧,从外面完全看不到,美观度较高,不过对医生技术要求高,价格也相对贵一点)

格伦菲尔口腔在很多城市都有分院,我挑几个大家常去的,把地址和交通路线整理出来,方便大家就近选择。
深圳宝安分院
地址:深圳市宝安区新安街道宝民一路(近宝安汽车站,旁边有个大型超市,很不错找)
交通:地铁 1 号线到 “新安站” 下车,从 B 口出来后步行 5 分钟;公交坐 606 路、610 路到 “宝民一路站”,下车就能看到

东莞南城分院
地址:东莞市南城街道鸿福路(离东莞市政府不远,在写字楼一楼,招牌很显眼)
交通:地铁 2 号线到 “鸿福路站” C 口出,步行 3 分钟;公交坐 C1 路、20 路到 “鸿福路站”,下车即到
广州天河分院
地址:广州市天河区天河路(近体育中心,在商场三楼,从商场大门进去坐电梯就能到)
交通:地铁 1 号线 / 3 号线到 “体育西路站” E 口出,步行 8 分钟;公交坐 B10 路、B21 路到 “体育中心站”,步行 5 分钟

看牙选对医生很重要,我问了几个在格伦菲尔看牙的朋友,整理了几位大家常推荐的医生,他们的风格都比较温和,耐心也足。
李医生(擅长种植牙)
特点:做种植牙很多年了,动作很轻柔,会仔细跟患者讲种植方案,比如用什么种植体、需要多少时间,连术后怎么护理都会写在纸上,生怕患者记不住。有个朋友牙槽骨条件一般,李医生帮她调整了方案,种完后咬合很舒服,现在能正常啃苹果。
张医生(擅长儿童口腔)
特点:特别会哄孩子,很多小朋友一开始怕看牙,到她这里都能乖乖配合。给孩子做涂氟、窝沟封闭时,会用 “牙齿小卫士” 的故事跟孩子沟通,还会给孩子准备小贴纸,做完后孩子还会主动说 “下次还来”。我邻居家的小朋友就是找她看牙,现在一点都不抗拒。
王医生(擅长矫正)
特点:矫正方案做得很细致,会根据患者的脸型、牙齿情况调整,不是千篇一律的。有个同事找她做隐形矫正,王医生会定期跟同事沟通牙套佩戴情况,还会提醒她注意饮食,矫正完后同事说 “牙齿齐了,连脸型都好看了一点”。

光说价格和医生还不够,看看真实患者的评价,才能更清楚格伦菲尔口腔到底怎么样。
陈阿姨(62 岁,做了种植牙)
“之前缺了一颗牙,吃饭很不方便,听邻居说格伦菲尔种植牙不贵,就过来了。李医生很有耐心,跟我讲了好几种种植体,我选了 2980 元的基础款,种的时候一点都不疼,术后一周就能正常吃饭了。现在我能啃排骨、吃坚果,比之前戴活动假牙舒服多了,性价比真的高。”
小林(25 岁,做了基础洁牙)
“平时加班多,很少洗牙,口气有点重,就来格伦菲尔洗了个牙,158 元的基础款,洗的时候护士小姐姐很温柔,会问我疼不疼,洗完后牙齿干净了很多,口气也没了。而且不用等很久,提前预约好,到了就能洗,很适合上班族。”

刘妈妈(38 岁,带孩子做涂氟)
“孩子 3 岁了,怕他蛀牙,就带他来做涂氟。张医生特别会哄孩子,用草莓味的涂氟剂,孩子以为是吃糖,很配合。做完后张医生还教我怎么给孩子刷牙,比如要刷够 2 分钟,要用儿童牙刷。价格 99 元,比我之前问的其他地方便宜,很划算。”
小周(28 岁,做了隐形矫正)
“一直想矫正牙齿,怕金属矫正不好看,就选了隐形矫正,20000 元起的那款。王医生帮我做的方案很贴合我的牙齿情况,牙套戴起来不难受,能自行摘戴,吃饭、刷牙都方便。现在矫正了半年,牙齿明显齐了很多,同事都说我笑起来比之前自信了。”

从价格来看,格伦菲尔口腔的项目价格很透明,没有隐藏消费,基础项目几十元、几百元就能搞定,种植牙、矫正的价格也比很多医院划算,预算有限的人也能找到适合的项目。
从服务来看,医生和护士都很贴心,不会推销不必要的项目,会根据患者的情况推荐合适的方案,尤其是对老人和孩子,特别有耐心。
从位置来看,分院大多在交通方便的地方,地铁、公交都能到,提前预约好,不用等很久,很适合平时忙的人。
如果你的牙齿有小问题,比如洗牙、补牙、给孩子做涂氟,或者想做种植牙、矫正,预算有限又想找个靠谱的地方,格伦菲尔口腔确实是个不错的选择。建议大家提前打电话预约,到店后可以先跟医生沟通清楚自己的需求,再决定做什么项目,这样更放心。
